■ 產品簡介
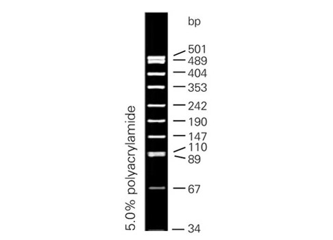
本產品是即用型由pUC19質粒經MspI完全酶切得到的,包括501,489,404,352,242,190,147,110,110,89,67,34bp DNA片段,適用于瓊脂糖或聚丙烯酰胺凝膠電泳中DNA條帶的分析。
■ 使用方法
·取1-2μl本產品加入到瓊脂糖凝膠的加樣孔中(每1mm×1mm加樣孔加0.5μl,如果加樣孔寬于5mm,可以適當增加上樣量)進行電泳。
·建議電泳條件:凝膠濃度為3%,凝膠長度8-10cm,電泳電壓5-10v/cm,電泳時間約45min。5-8%聚丙烯酰胺凝膠,凝膠長度15cm,電壓10V/cm,電泳時間2h左右。
·通過EB染色后紫外燈下觀察條帶。
建議:使用ExRed、ExGreen、ExGreenPlus核酸染料,無致癌毒性,讓實驗更安全!
■ 產品儲存
4℃貯存六個月(-20℃貯存至少兩年)

| 5%的聚丙烯酰胺凝膠電泳示意圖 上 樣 量:5μl 凝膠長度:15cm 電泳電壓:10v/cm 緩 沖 液:1×TBE 電泳時間:1.5h-2h 梳子尺寸:1.5mm
|